Company News

Stress dynamically modulates neuronal autophagy to gate depression onset

Views : 673
Author : Liang Yang,
Update time : 2025-04-15 11:15:47

Main

Major depressive disorder is one of the most disabling psychiatric disorders, with a global lifetime prevalence of 10.6% (ref. 3). Stress is a significant risk factor for depression and widely present in daily life. Moderate stress in the short term is beneficial for survival, whereas prolonged stress exposure can perturb emotional homeostasis and contribute to depression1. However, it remains elusive how the brain dynamically copes with stress. Understanding the dynamic cellular mechanisms within specific neural circuits underlying stress is crucial for the development of more efficacious antidepressant treatments.

Protein turnover by degradation and synthesis allows fine-tuning of neuronal homeostasis4. Among various mechanisms that control protein turnover, autophagy (herein mainly concerning macroautophagy) has drawn increasing attention in recent decades2. Autophagy is a major catabolic stepwise process through which intracellular proteins are engulfed in autophagosomes and subsequently transported to lysosomes for degradation5. Notably, though autophagy genes are extensively expressed in the nervous system, the physiological function of brain autophagy remains an open question. So far most research has focused on its role in neurological diseases2,5,6,7, leaving an enormous opportunity for exploring its role in stress-related psychiatric diseases.

By specifically targeting the degradation of synaptic components8,9,10,11,12,13,14, brain autophagy has been suggested to regulate synaptic function and various related physio- and pathological functions, including learning and memory15,16,17,18 and psychiatric disorders19,20,21,22,23,24,25. Yet, little has been uncovered regarding the precise cellular substrates and neural circuits underlying how brain autophagy regulates emotions during stress.

The clinical relevance of autophagy dysfunction in depression has been demonstrated by impaired autophagy-related signalling (for example, mTOR, p62, LC3, Atg7, Beclin-1) in blood or brain samples from patients with depression23. Conversely, autophagy signalling is elevated in samples from patients with depression and stressed animals treated with antidepressants24,26. Nevertheless, the precise targets to which antidepressants regulate autophagy in the brain remain elusive.

The lateral habenula (LHb), one of the most vulnerable targets of stress, is extensively activated by numerous stressors27,28,29,30,31,32 and therefore shows a high turnover of synaptic proteins30,33. In particular, chronic stress potentiates excitatory inputs, alters the expression of various synaptic proteins and disrupts neuronal homeostasis in the LHb27,28,29,30,31,32. Here we found that LHb autophagy is essential for emotional homeostasis through counterbalancing excessive synaptic proteins upregulated by stress. We discovered a causal role of LHb autophagy in coping with stress. Maladaptation to chronic stress disrupts LHb autophagy, the reversal of which provides exciting possibilities for new rapid and sustained antidepressant strategies.

Antidepressants activate LHb autophagy

Given the potential role of autophagy in the actions of antidepressant drugs24, we evaluated whether autophagy levels in specialized brain circuits were modulated by antidepressants in mice that received chronic restraint stress (CRS), a well-established animal model of depression29,31. We measured in parallel autophagy levels in nine stress-related brain regions under the systemic administration of either a classical selective serotonin reuptake inhibitor (SSRI) paroxetine34 or a new rapid antidepressant ketamine35 (Extended Data Fig. 1a,b). We observed that both paroxetine (Extended Data Fig. 1a) and ketamine (Extended Data Fig. 1b) enhanced autophagy in the LHb. This was demonstrated by decreased protein level of p62 (Extended Data Fig. 1a1,b1), a classical autophagy marker degraded by autophagic processes2, and increased protein level of Beclin-1 (Extended Data Fig. 1a2,b2), which is specifically involved in autophagosome formation2. Meanwhile, p62 and Beclin-1 levels in eight other brain regions were unaffected by either paroxetine or ketamine, including the ventral hippocampus (vHippo), medial prefrontal cortex (mPFC), ventral tegmental areas (VTA), lateral hypothalamus, nucleus accumbens (NAc), lateral septum, dorsal raphe nucleus and median raphe nucleus (Extended Data Fig. 1a,b), suggesting that regulatory effects of distinct antidepressants on brain autophagy take place mainly in the LHb. One day of treatment of paroxetine had no impact on depression-like behaviours (Extended Data Fig. 2a,b) and did not alter p62 or Beclin-1 levels in the LHb (Extended Data Fig. 2c). In parallel, 7 days, but not 1 day, of treatment of paroxetine significantly reduced excitatory synaptic transmission and bursting activity in LHb neurons of CRS mice (Extended Data Fig. 2d–i). These results indicate that activation of LHb autophagy is temporally coincided with the silencing of LHb neuronal activity and the onset of paroxetine’s antidepressant-like effects in chronic stressed mice34.

CRS impairs LHb autophagy

To further investigate the clinical relevance of LHb autophagy in depression, we analysed in parallel autophagy-related gene expression levels by bulk RNA sequencing (RNA-seq) in six emotion-related brain regions. Transcriptomic profiles were compared between naive and CRS mice after completing a depression-like behavioural test, the forced swim test (FST) (Fig. 1a). Using KEGG (Kyoto Encyclopedia of Genes and Genomes) enrichment analysis, we found that genes engaged in autophagy-related signalling (Fig. 1b), especially macroautophagy (Fig. 1b(i)), showed the highest absolute value of enrichment scores (z-scores) in the LHb among the many brain regions analysed in CRS mice. In addition, autophagy-related genes in the LHb indicate downregulation of autophagy compared to the naive controls. Furthermore, single-nucleus RNA-seq (snRNA-seq) in the LHb showed that autophagy-related genes show selective downregulation of autophagy in neurons rather than glial cells (Extended Data Fig. 3a). By contrast, enrichment of macroautophagy genes in the vHippo, VTA and NAc was undetectable, and significant enrichment of autophagy upregulation-related genes was detected in the lateral hypothalamus but not significant in the mPFC (Fig. 1b(i)). Moreover, at the single gene level, we observed significantly decreased mRNA expression levels of genes involved in the autophagy activation processes (Extended Data Fig. 3b,c1,2) (for example, Becn1 (encoding Beclin-1) and autophagy-related gene Atg10), as well as tendencies towards decreased Atg4dAtg12Atg7Atg5 and LC3 (also known as Map1lc3a) (Extended Data Fig. 3c). We also found a tendency towards increased mRNA expression level of Mtor, whose activation inhibits autophagy processes (Extended Data Fig. 3c). These transcriptomic results were further validated using quantitative PCR (qPCR) (Extended Data Fig. 3d). Notably, negative correlations were found between the mRNA levels of core autophagy genes in the LHb of each mouse and the corresponding individual immobility durations in the FST (Fig. 1c,d), indicating a direct link between impaired LHb autophagy function and depression-like status. In addition, mRNA levels of ubiquitin–proteasome system, another main intracellular protein degradation system4, were unaffected in the LHb by CRS (Extended Data Fig. 3e–g), indicating the functional specificity of altered LHb autophagy in depression.

Fig. 1: Acute stress activates, whereas chronic stress impairs, LHb autophagy.
figure 1

a, Experimental design. D, day. b, Two-sided classic KEGG analysis of bulk RNA-seq (nnaive/CRS = 3 per group; numbers on the bar indicate the corresponding z-score). LH, lateral hypothalamus. c,d, Correlation of Becn1 (c) and LC3 (d) mRNA fragments per kilobase million (FPKM) with behavioural scores (n = 12 mice). CH, CRS mice with high FST; CL, CRS mice with low FST; NH, naive mice with high FST; NL, naive mice with low FST. e, Experimental designs. AFS, acute footshock stress; ASDS, acute social defeat stress; CFS, chronic footshock stress; CSDS, chronic social defeat stress. f,g, Representative images (f) and quantification (g) of western blot (p62, nnaive/ARS/CRS = 5, 4, 6; Beclin-1, nnaive/ARS/CRS = 5, 5, 7; nnaive/ASDS/CSDS = 5 per group for p62 and Beclin-1; nnaive/AFS/CFS = 5, 5, 4 for p62 and Beclin-1). h,i, Representative images (h) and quantification (i) of the proportion of GFP-puncta-positive cells in LHb of GFP-LC3 mice treated with ARS and CRS. White circles denote colocalization of GFP–LC3 puncta and DAPI (nnaive/ARS/CRS = 6/4/5). j, Experimental designs. kp, Representative images (k,m) and quantification of ubiquitin (l), p-AMPK (n), p-mTOR (o) and p-S6K (p) western blot (nnaive/ARS/CRS = 4 per group). qv, Experimental design (q), representative images (r) and quantification of p62 and Beclin-1 (s, p62, nARS+Veh/CRS+SBI = 4, 5; Beclin-1, nARS+Veh/CRS+SBI = 6 per group), p-AMPK (tnARS+Veh/CRS+SBI = 4, 5), p-mTOR (unARS+Veh/CRS+SBI = 4, 5) and p-S6K (vnARS+Veh/CRS+SBI = 4, 5) western blot showing effect of SBI treatment on autophagy. Veh, vehicle. Two-sided Mann–Whitney test (g,l,mp,sv), two-sided unpaired t-test (i) and Pearson correlation test (c,d). Data are mean ± s.e.m. Schematics in a,e,j,k adapted from ref. 31, Elsevier.

Source data


Full size image

Bidirectional effects of stress

To decipher how stress affects and eventually dampens LHb autophagy, we measured LHb autophagy function in mice treated with many stressors (restraint, social defeat or footshock), which engage distinct sensory modalities (physical, psychosocial or noxious), either acutely or chronically (Fig. 1e). These chronic stress protocols are all well-accepted animal models of depression29,30,36. Consistent with the transcriptome data, protein levels in the LHb also indicate impaired autophagy in various chronically stressed mouse models. By contrast, acute stressors all significantly enhanced LHb autophagy compared with naive mice (Fig. 1f,g). To investigate whether stress-induced neuronal activity directly enhances LHb autophagy, we applied 40-Hz phasic photostimulation (4 pulses per second) at lateral hypothalamus-LHb synaptic terminals, which mimics the neuronal firing pattern evoked by various acute stressors29,31, and found that it also enhanced LHb autophagy (Extended Data Fig. 4a,b), suggesting an activity-dependent enhancement of LHb autophagy during acute stress.

We further measured autophagic flux either by immunostaining LC3 puncta in wild-type (WT) mice or quantifying puncta fluorescence in LC3-GFP reporter mice. Consistently, LC3 puncta fluorescence was enhanced in the LHb of mice treated with acute restraint stress (ARS), whereas it was decreased in those treated with CRS (Fig. 1h,i and Extended Data Fig. 4c). Moreover, the number of autophagosomes detected under electron microscopy in LHb neurons was drastically increased by ARS but decreased by CRS (Extended Data Fig. 4d). Consistent with the mRNA expression levels, the protein level of ubiquitin was also unaffected by acute or chronic stress (Fig. 1j–l). Notably, neither ARS nor CRS altered autophagy function in the vHippo (Extended Data Fig. 4e). In addition, food restriction, a classical trigger of autophagy in peripheral organs37, enhanced autophagy in the liver without affecting the LHb (Extended Data Fig. 4f,g).

Independent roles of AMPK and mTOR

Given that mTOR inhibition and AMP-activated protein kinase (AMPK) activation are two canonical inducers of autophagy2, we determined the expression levels of phosphorylated AMPK (p-AMPK) and phosphorylated mTOR (p-mTOR) in the LHb of mice under either ARS or CRS. Western blot showed that ARS increased p-AMPK level without affecting p-mTOR or the downstream phosphorylated p70S6 kinase (p-S6K), whereas CRS augmented p-mTOR and p-S6K levels without affecting p-AMPK (Fig. 1m–p). Collectively, these results indicate the independent and opposing roles of AMPK and mTOR signalling in modulating LHb autophagy at different stages of stress. Acute stress activates AMPK to initiate LHb autophagy, whereas chronic stress activates mTOR to terminate LHb autophagy.

To determine whether AMPK is required for autophagy initiation during acute stress, SBI-0206965 (SBI), a selective inhibitor of AMPK-ULK1 (Unc51-like autophagy activating kinase 1) phosphorylation, was locally infused into the LHb before ARS, and subsequent western blot experiments of relevant signalling pathways were performed (Fig. 1q). We found that p62 level was increased, whereas Beclin-1 and p-AMPK levels were decreased by SBI, without altering p-mTOR and p-S6K levels (Fig. 1r–v), suggesting an indispensable role of AMPK activation in ARS-induced autophagy in the LHb. Excitatory synaptic transmission elevated by acute stress returned to basal levels 1–3 days after stress exposure (Extended Data Fig. 5a–d), indicating a naturally occurring process of synaptic depression. However, this reversal of synaptic potentiation was abolished under local blockade of LHb autophagy by means of SBI during the exposure to ARS (Extended Data Fig. 5a–d). Given the essential role of LHb synaptic potentiation in a depression-like state27,28,29,31, our data indicate that a failure of naturally occurring synaptic depression may facilitate depression-like behaviours after acute stress. Indeed, local infusion of SBI facilitated an anhedonia-like phenotype in the sucrose preference test (SPT), without affecting the despair-like phenotype in the tail suspension test, as well as the locomotion and anxiety-like phenotype in the open field test (OFT) (Extended Data Fig. 5e–h). Altogether, these results indicate that AMPK signalling is required for the initiation of LHb autophagy to cope with acute stress.

Antidepressant role of LHb autophagy

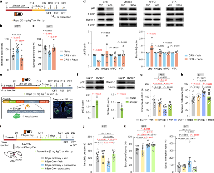
Given that mTOR signalling is elevated after chronic stress, we tested whether mTOR inhibition alleviates depression-like behaviours. Therefore, rapamycin, a US Food and Drug Administration (FDA)-approved mTOR inhibitor was systemically injected in CRS mice (Fig. 2a). We found that rapamycin alleviated depression-like behaviours (Fig. 2b,c), without affecting OFT performance (Extended Data Fig. 6a). Notably, systemic treatment of rapamycin under antidepressant dosage enhanced autophagy in the LHb rather than other regions (Fig. 2d). To assess whether LHb autophagy is required for antidepressant-like actions of rapamycin, we designed a short hairpin RNA (shRNA) to knock down Atg7 mRNA by means of viral gene transfer (Fig. 2e,f). Overexpression of Atg7-targeting shRNA (shAtg7) specifically in the LHb abolished antidepressant-like effects of rapamycin in both FST and SPT (Fig. 2g,h), without altering OFT performance (Extended Data Fig. 6b). These results reveal the necessary role of LHb autophagy in the antidepressant effect of rapamycin.

Fig. 2: Actions of different antidepressants commonly require LHb autophagy.
figure 2

a, Experimental design. Rapa, rapamycin; i.p., intraperitoneal injection. b,c, Intraperitoneal injection of rapamycin alleviates depression-like phenotypes (bnnaive/CRS+Veh/CRS+Rapa = 10 per group; cnnaive/CRS+Veh/CRS+Rapa = 10, 10, 8). d, Intraperitoneal injection of rapamycin enhances autophagy selectively in LHb but not vHippo, mPFC and VTA of CRS mice (p62, nCRS+Veh/CRS+Rapa = 5, 6 for VTA, nCRS+Veh/CRS+Rapa = 5 per group for the rest of brain regions; Beclin-1, nCRS+Veh/CRS+Rapa = 5 per group). e, Experimental design, shRNA working model and a representative image of viral expression. Scale bar, 500 μm. f, Representative images (top) and quantification (bottom) of p62 and Beclin-1 western blot from LHb lysates, showing that Atg7 knockdown decreases LHb autophagy (that is, increased p62 and decreased Beclin-1) (nEGFP/shAtg7 = 5 per group for p62 and Beclin-1). g,h, Knockdown of Atg7 in LHb abolishes antidepressant-like effects of rapamycin in CRS mice (gnEGFP+Veh/shAtg7+Veh/EGFP+Rapa/shAtg7+Rapa = 8, 8, 11, 8; hnEGFP+Veh/shAtg7+Veh/EGFP+Rapa/shAtg7+Rapa = 9, 8, 11, 8). i, Experimental design. jl, Conditional knockout of Atg7 in LHb abolishes antidepressant-like effects of paroxetine in FST (jnmCherry+Veh/cre+Veh/mCherry+Pxt/cre+Pxt = 7, 6, 8, 8) and SIT (lnmCherry+Veh/cre+Veh/mCherry+Pxt/cre+Pxt = 6/6/7/8), but not SPT (knmCherry+Veh/cre+Veh/mCherry+Pxt/cre+Pxt = 7, 6, 7, 8). Two-sided Mann–Whitney test (d,f) and one-way ANOVA with uncorrected Fisher’s least significant difference (LSD) test (b,c,g,h,jl). Data are mean ± s.e.m. Schematics in a,e,i adapted from ref. 31, Elsevier.

Source data


Full size image

To further interrogate whether activation of LHb autophagy is required for different antidepressants, we measured antidepressant-like effects of paroxetine and ketamine in mice with deficient LHb autophagy. Antidepressant-like effects of chronic paroxetine treatment were partially abolished by conditional knockout of Atg7 specifically in the LHb (Atg7LHb−/−), characterized by behavioural phenotypes in the FST and social interaction test (SIT), without affecting SPT performance (Fig. 2i–l). Similarly, ketamine showed no antidepressant-like effects in Atg7LHb−/− mice compared to vehicle-treated controls (Extended Data Fig. 7a–d). These findings indicate LHb autophagy as a common mechanistic target of antidepressant-like actions. Concerning the molecular pathways by which different antidepressants regulates LHb autophagy, both ketamine and paroxetine at antidepressant dosage decreased the levels of phosphorylated Akt (p-Akt) and p-mTOR in the LHb of CRS mice (Extended Data Fig. 7e–h). As reduced phosphorylation of Akt inhibits mTOR and thus activates Beclin-1 to promote autophagy24, our findings suggest that various antidepressants might activate LHb autophagy through inhibiting Akt signalling.

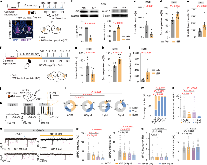
As rapamycin, paroxetine and ketamine are all involved in other biological processes besides autophagy, we further assessed whether specific activation of LHb autophagy directly modulates depression-like behaviours. A selective agonist of Beclin-1, TAT–Beclin-1 peptide (tBP), was locally infused into bilateral LHb of mice after experiencing either CRS or chronic social defeat stress (CSDS) (Fig. 3a,f). tBP treatment enhanced LHb autophagy in the LHb (Fig. 3b), without affecting apoptosis (Extended Data Fig. 8a). tBP rapidly (within 0.5 h) reversed CRS- or CSDS-induced depression-like behaviours (Fig. 3c–e,g–i), without affecting OFT behaviour (Extended Data Fig. 6c,d). These results demonstrate that specific activation of LHb autophagy exerts rapid antidepressant-like effects in distinct animal models of chronic stress-induced depression.

Fig. 3: Enhancing LHb autophagy rapidly exerts antidepressant-like effects by means of normalization of neuronal hyperactivity and synaptic deficit in chronic stressed mice.
figure 3

a, Experimental designs, representative illustrations of bilateral implantation of cannulae and drug infusion sites. Scale bar, 500 μm. b, Representative images (top) and quantification (bottom) of western blot show that local infusion of tBP instantly increases LHb autophagy (that is, decreased p62 and increased Beclin-1) (tested within 30 min after tBP infusion; p62, nVeh/tBP = 4 per group; Beclin-1, nVeh/tBP = 5 per group). ce, LHb local infusion of tBP rapidly alleviates depression-like phenotypes in CRS mice (

Related News
Read More >>
A plant flavonol and genetic suppressors rescue a pathogenic mutation associated with kinesin in neurons A plant flavonol and genetic suppressors rescue a pathogenic mutation associated with kinesin in neurons
Apr .27.2025
Significance
This study offers important insights into KIF1A-associated neurological disorder (KAND), a group of neurological disorders connected to KIF1A, a microtubule-based motor protein responsible for axonal transport. With limited therapeutic optio
Translational genomics of osteoarthritis in 1,962,069 individuals Translational genomics of osteoarthritis in 1,962,069 individuals
Apr .15.2025
Osteoarthritis is the third most rapidly growing health condition associated with disability, after dementia and diabetes1. By 2050, the total number of patients with osteoarthritis is estimated to reach 1 billion worldwide2. As no disease-modifying treat